| 当クリニックで実施している主な検査 |
| 尿検査 |
尿タンパク・尿糖・潜血などの検査を行います。腎疾患・糖尿病などがわかります。また、膀胱・尿道炎が疑われる場合は原因となる菌を培養して調べることもあります。 |
|
| 血液検査 |
肝機能・コレステロールや中性脂肪・糖尿病等一般的な疾患・生活習慣病などがわかります。また、感染症や腫瘍マーカー・アレルギーなど症状や、疑われる疾患に適した検査を医師が選択して行います。また、異常の有った項目については、より詳しく追加の検査を行うこともあります。 |
|
X線検査 (レントゲン) |
胸部X線検査では、肺炎や気管支炎・肺結核・気胸・塵肺・肺ガンなどがわかります。腹部X線検査では腸の状態・腸閉塞・各種結石・腎臓の腫大などがわかります。 |
 |
| 超音波検査 |
超音波(人間には聞こえない高い音)を使った検査です。最大の特徴は身体に非侵襲(悪い影響がない)であることです。婦人科などでは妊娠中に胎児や子宮の観察にも使用します。
当クリニックでは主に肝臓や胆嚢・腎臓・膵臓・乳房の腫瘍検査などを行っています。 |
 |
心エコー
(心臓超音波検査) |
超音波を使用した心臓の検査です。心臓の大きさや動きの検査を行います。弁の動きや血流に色を付けて血液の逆流の有無などの検査を行うことも出来ます。 |
 |
| 内視鏡検査 |
現在近隣病院での検査となります。 |
 |
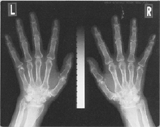
| 骨塩定量検査 |
骨塩量を調べる検査です。
手の指を骨塩測定のためのスケールと一緒にX線撮影をし、骨塩量を測定します。骨粗鬆症になってからではなく、若い間に検査を受け骨塩量を知っておくのが良いでしょう。 |
 |
| CT検査 |
現在近隣病院での検査となります。 |
 |
| 肺機能検査 |
肺気量分画・フローボリューム検査を行います。肺機能が正常に保たれているかを調べます。肺気腫・肺繊維症・慢性の肺疾患(長期の喫煙の影響など)がわかります。 |
|
上記以外にも様々な検査が受けられます。
また、当クリニックにて 受けることが出来ない検査については
近隣の医療機関への予約紹介も 行っております。
主な紹介先は右のボタンをクリックして頂くとご覧になれます。 |
 |
  |